
Key Differences and Similarities
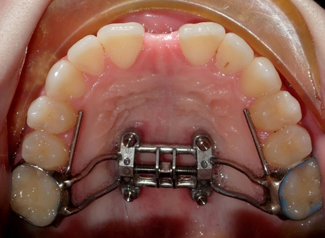
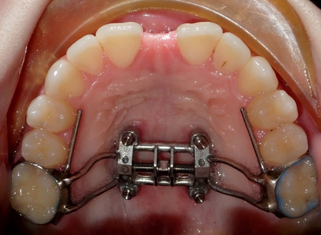
Definition: MARPE is a general term for any expander using miniscrews for skeletal anchorage. MSE is a specific, popular type of MARPE designed to provide more parallel expansion, often utilizing four TADs, especially in adults.
Mechanism: Both use 4 or more titanium screws anchored directly to the palatal bone, bypassing reliance on teeth, which reduces unwanted tooth movement.
Target Audience: Ideal for patients with fused or partially fused sutures (adults/older teens) who need skeletal expansion.
Benefits: These devices increase the volume of the nasal cavity, which can improve nasal breathing and reduce sleep apnea symptoms.
Advantages
Non-Surgical: Provides a non-surgical solution for adult maxillary constriction, avoiding risks associated with surgery.
Skeletal Stability: Offers more stable, long-term, and consistent results compared to traditional, tooth-borne expanders.
Treatment Results: Corrects narrow, high-arched palates, creates room for teeth, and improves facial aesthetics.
Procedure and Treatment
Placement: The appliance is designed, sometimes using 3D-printed guides based on a CT scan, and anchored in the roof of the mouth.
Activation: Patients, or parents, usually activate the device at home over several weeks to expand the palate.
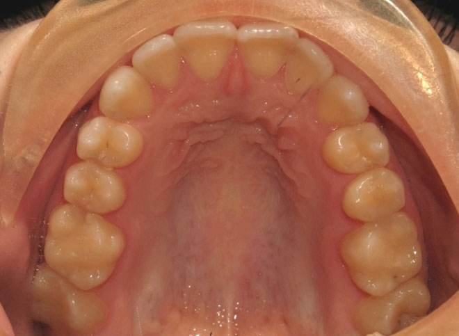
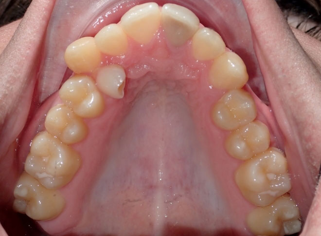
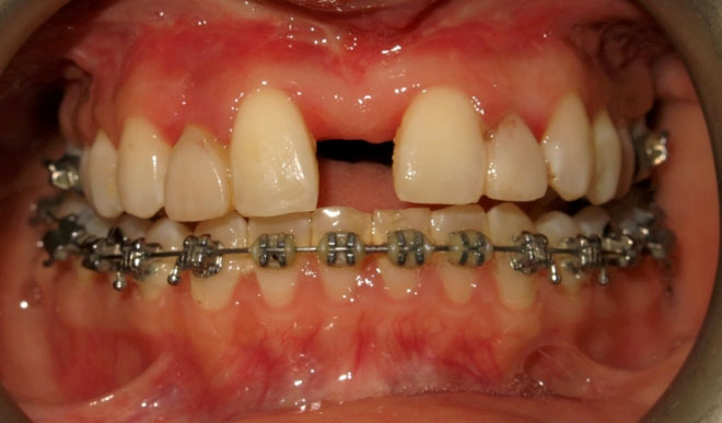
Results: A gap usually forms between the front teeth, which is a positive sign that the suture is separating.






